審美歯科治療
当院では、患者様一人ひとりの口腔内の状態やご希望を丁寧にお伺いしたうえで、ダイレクトボンディング、セラミック治療、矯正治療、ホワイトニングなど、審美面と機能面の両方を考慮した治療方法をご相談のうえご提案いたします。
キレイな歯と笑顔で、
印象が変わるだけでなく自信もつきます。
審美歯科とは、機能的な部分だけではなく、歯列矯正やホワイトニング、ダイレクトボンディング、入れ歯などによって、審美性を改善する治療をいいます。きれいな歯並び、白い歯になることで、印象が変わるというだけでなく自分の笑顔に自信も持てるようになったという方も多いです。
噛み合せを考えた審美歯科治療
補綴治療(かぶせ物や入れ歯)の治療は、どのようなものでもただお口の中に入れたら良いわけではありません。しっかりお食事ができて見た目もきれいな補綴治療は、高い技術をもった専門の歯科技工士と連携をとって初めて成功するものです。
噛み合わせがよい補綴治療は、残っている歯の負担を軽減して、長持ちさせることができます。当院は噛み合わせにも精通した歯科技工士にかぶせ物や入れ歯の作製を依頼し、患者様のお口の中でより快適に長く使っていただけることを目指しています。
前歯で顔の印象が決まります
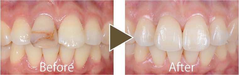
前歯の見た目が気になって、人前で笑ったり歯を見られることに抵抗がお有りではないでしょうか。当院は歯をできるだけ削らないダイレクトボンディングやセラミック治療を得意としています。
材料や方法にもいろいろなものがございますので、患者様のお口の状態やご希望にあわせた提案をさせていただきます。
ダイレクトボンディング
ダイレクトボンディングとはお口の中で直接コンポジットレジンを充填する治療法です。他の修復法に比べると歯を削る量が少なく低侵襲な治療です。ダイレクトボンディングの場合保険内のコンポジットレジンと違い色調再現性が非常によく強度が高い材料を使用します。また、ダイレクトボンディングはつめる際に湿気があると固まりにくくなりますが当院ではしっかりとラバーダム防湿を行い充填しております。
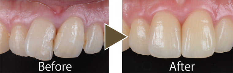
セラミッククラウン
大きな虫歯などで歯が大きくなくなってしまった場合でもセラミックを使用した白い被せ物を作ることができます。従来の被せ物と違い白くキレイな被せ物ができます。また、金属も使用しないので金属アレルギーの方にも非常に優しい治療です。当院では信頼のおける技工士に依頼しておりますので被せ物の色調や精度も非常に高いものができます。
ラミネートベニア
ラミネートベニアとは歯の色や形が悪い場合、歯の表面1層のみを薄く削り付け爪のようなセラミック製のシェルを貼り付ける治療方法です。ラミネートベニアは歯を削る量が少なくすむのが特徴です。
セラミックブリッジ
以前はセラミックの強度がなくブリッジには適しませんでしたが、現在は材料の強度も上がり、歯が無くなってしまった部分もセラミックを使用し、審美的で長期間の治療予後が期待できるセラミックによる治療ができるようになっています。
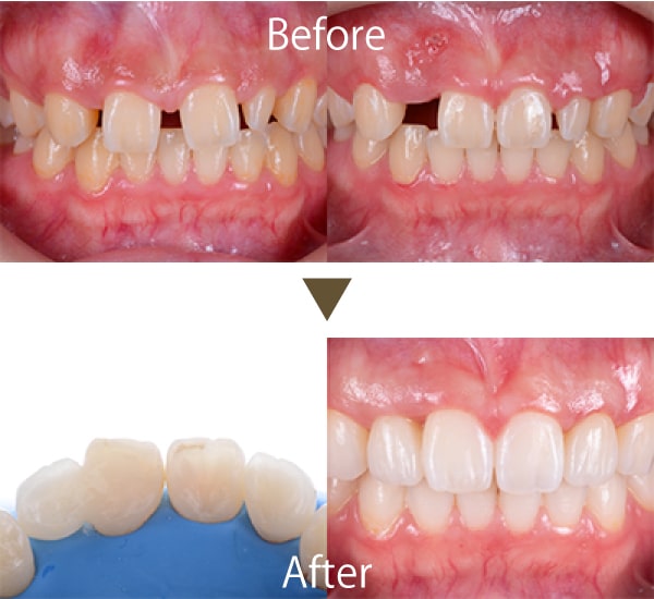
接着ブリッジ
セラミックの自費接着ブリッジは、歯を失った部分を周囲の歯に接着して補う治療方法です。従来のブリッジと比べて、健康な歯を削る量を最小限に抑えられることが大きな特長です。素材には、見た目が自然で変色しにくいセラミックを使用するため、前歯など審美性が求められる部位にも適しています。
(部分的な矯正治療で歯並びを改善した後、歯が欠損していた右上の前から2番目の部位に、隣の歯の裏側を利用した接着ブリッジで歯を補った症例です。)
























