-
矯正カウンセリング無料
歯並びでお悩みの方には矯正治療の無料カウンセリングを行なっています。目立たないマウスピース矯正も行なっています。
キャンペーン価格!!!
インビザラインGO(上下顎前歯の軽度な症例)
60万円→40万円(税込44万円)
インビザライン(上下全顎の重度な症例)
90万円→70万円(税込77万円)
分割手数料 無料! -
歯科用CT撮影無料
当院でインプラント治療を受けられる患者様については、歯科用CT撮影を無料で行っています。また、前歯部で抜歯即時インプラント手術、治療用仮歯の装着も行っています。
骨が少ない患者様には、サイナスリフト(上顎洞底挙上術)などの骨造成も行っています。
インプラント治療をお考えの方は一度ご相談ください。 -
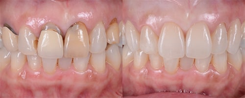
審美歯科治療
当院では、患者様一人ひとりの口腔内の状態やご希望を丁寧にお伺いしたうえで、ダイレクトボンディング、セラミック治療(ベニア・クラウンなど)、矯正治療(部分矯正・全顎矯正)、ホワイトニングなど、審美面と機能面の両方を考慮した治療方法をご相談のうえご提案いたします。
-
ダイレクトボンディング
前歯が欠けてしまった場合や、奥歯の金属の詰め物が気になる場合でも、歯を極力削らない「ダイレクトボンディング」による治療で、自然な見た目に仕上げることが可能です。
院長 岩田 淳からのご挨拶
はじめまして、このたび兵庫県高砂市の宝殿駅前で岩田歯科医院を開院させていただくことになりました歯科医師の岩田淳です。
私の地元でもあるこの地で、皆様に歯科医療を通じて社会貢献をしたいと考えております。当院は歯科用CTや歯科用顕微鏡も備えていますので、正確な診査診断と精密治療を行えるよう心がけております。
また定期検診でも皆様のお口の健康を長く保っていけるような地域のホームドクターを目指して参ります。
お口の中のお悩みはぜひ当院までご相談ください。

高砂市の岩田歯科医院の取り組み
-
1.歯科用マイクロスコープを使用した精密歯科治療
治療を受けた歯を長持ちさせるためには、数マイクロ(1000分の1ミリ)精度での治療が必要不可欠となります。当院では歯科用マイクロスコープを使用し、治療のやり直しが起こりにくいように、精密歯科治療を行うことを目指しております。
また記録システムと大型モニターも備えていますので、患者様自身にも治療の御確認をしていただくことが可能です。
-
2.歯科用CTを使用した正確な診査診断と安全な治療計画の提案
親知らずの抜歯やインプラント治療を安全に行うためには、CT撮影を行い3次元的に患者様の歯や骨の状態を確認する必要があります。
また根管治療(歯の神経の治療)においても、複雑な根管を3次元的に確認することができるため、精密な根管治療を行うことができます。
-
3.完全個室・バリアフリー
全部屋完全個室のため、お口の中の悩みなどを気兼ねなくご相談頂けます。他院で治療を受けたがなかなか治らない、見た目が悪いなどのご相談・セカンドオピニオンも受け付けています。
また、バリアフリーですのでお体の不自由な方も足元に気を遣う必要がありません。ベビーカーや車椅子でも楽に通院していただけます。
-
4.歯をできるだけ削らない患者様の歯を大事にした接着歯科治療
歯がむし歯になってしまった場合、安易に金属の詰め物やかぶせ物で歯を大量に削る治療をしてしまう歯科医院が非常に多いですが、当院ではお口の写真やX線検査を行い患者様の状態を正確に把握して、それらを提示しながら治療方法についてご説明いたします。
また当院長はダイレクトボンディングという接着歯科治療のインストラクターもしておりますので、できるだけ歯を削らずに見た目の美しさも兼ねそろえた治療を行うことができます。
-
5.歯科技工士との連携
歯が掛けたり、なくなった部分を補う歯科用人工物を補綴装置(入れ歯やかぶせ物)、それらを製作する職業を歯科技工士といいます。
当院は歯科技工士と連携して、精度が高く審美的・機能的に優れたセラミックや入れ歯の補綴装置を患者様にご提供することが可能です。
-
6.歯科衛生士による衛生指導やクリーニングで、むし歯・歯周病予防
治療後にできるだけ歯を長持ちさせるため、そして将来的にむし歯や歯周病にならないように、定期的にメインテナンスに来ていただくことをお勧めしています。
当院には国家資格を持った衛生士が3名在籍しており、担当制をとることによって患者様それぞれに適した衛生指導やクリーニングを目指しています。またお子様の歯ブラシ指導やフッ素塗布なども行っていますので、小さなお子様もぜひご来院ください。
-
7.口腔内スキャナーを用いた印象採得、矯正治療
歯科治療、矯正治療には、歯型をとる必要がありますが、口腔内スキャナーを使用すると、短時間で歯型とりが終了し、患者様の負担を軽くすることができます。
-
8.歯科医師や歯科メーカー向けの講演、著書などの活動
歯科医師や歯科技工士、歯科メーカーに、多数の講演や著書の執筆を行なっており、治療技術の研鑽および歯科教育に力を注いでいます。

- 休診日:木曜日、日曜祝日

駐車場10台分完備 駅から徒歩0分
〒676-0808 兵庫県高砂市神爪1-6-11
JR山陽本線 宝殿駅から徒歩0分







